贫血中医辩证治疗
疾病简介

英文:anemia。
“贫血”是指人体外周血中红细胞容积的减少,低于正常范围下限的一种常见的临床症状。由于红细胞容积测定较复杂,临床上常用血红蛋白(Hb)浓度来代替。中国科学院肾病检测研究所血液病学家认为在中国海平面地区,成年男性Hb<120g/L,成年女性(非妊娠)Hb<110g/L,孕妇Hb<100g/L就有贫血。
1972年WHO制订的诊断标准认为在海平面地区Hb低于下述水平诊断为贫血,6个月~6岁儿童110g/L,6~14岁儿童120g/L,成年男性130g/L,成年女性120g/L,孕妇110g/L。应注意,久居高原地区居民的血红蛋白正常值较海平面居民为高,在妊娠、低蛋白血症、充血性心力衰竭、脾肿大及巨球蛋白血症时,血浆容量增加,此时即使红细胞容量是正常的,但因血液被稀释,血红蛋白浓度降低,容易被误诊为贫血;在脱水或失血等循环血容量减少时,由于血液浓缩,即使红细胞容量偏低,但因血红蛋白浓度增高,贫血易误诊。
造成贫血的原因有多种:缺铁、出血、溶血、造血功能障碍等。一般要给与富于营养和高热量、高蛋白、多维生素、含丰富无机盐的饮食,以助于恢复造血功能。
流行状况

约有 30%-40%的婴幼儿患有贫血,主要是由于母体贫血造成的连锁反应,致使新生儿从母体中吸收的生血物质的补给不足,体格及智力发育受到严重影响,产生厌食、挑食、对各种感染抵抗力减退等。妇女的贫血发病率为64.4%,女性的例假、怀孕时自身及胎儿对生血物质的双重需求、分娩出血都是直接原因。过去贫血的主要原因是营养不良,近年来因减肥而造成营养失调,形成了严重贫血的又一人群。
贫血原因
造血的原料不足:铁缺乏(缺铁性贫血),叶酸缺乏(巨幼红细胞性贫血);血细胞形态的改变(如:镰刀形贫血症);人体的造血机能降低(即骨髓的造血机能降低);红细胞过多的破坏或损失。
贫血在祖国医学属“虚症”范畴,常见有血虚、气虚、阴虚、阳虚。
中医认为本病主要由于禀赋薄弱,或饮食不节,或久病失血,以致脾肾亏损所致,临床根据症状可辨为气不摄血、肝肾阴虚、五脏亏损等症型。
贫血的主要原因是营养不良,以及产生一系列的免疫功能紊乱,造血功能障碍,
近年来因减肥而造成营养失调,形成了严重贫血的又一人群。
血液,主要由营气和津液所组成。营气和津液都来源于水谷之精气,取自于食物,
其生成主要有两个方面:一是脾胃为气血化生之源:血液主要来源于水谷精微,
而水谷精微之化生,则主要靠中焦脾胃的消化和吸收。
若饮食营养摄入不足,或脾胃运化功能长期失调,则均可导致血液的生成不足,从而形成贫血的病理变化。
贫血患者须知

进一步研究表明贫血患者往往死于心律不齐,心率过速,胸闷,头晕,冷汗淋漓.四肢冰冷.
其病因:心肌供血不足,心肌回流受阻或者心肌梗死突然发生的晕厥、休克、死亡,或者是室颤、房颤引起的晕厥死亡等等很多, 此类疾病通常没有任何前兆,死亡率颇高,也容易遗留相关心脏疾病
贫血患者处于安静状态时,也有可能出现出现呼吸短促现象,这种情况很可能是左心功能不全的表现。
其二,贫血及造血功能不齐引起免疫功能紊乱,抵抗力低下,在生理上甚至出现老年化的病状,
头发过早的须白,皮肤枯燥,出现脂褐素,老年雀斑等
关于贫血及“未老先衰”的病理学临床研究
血液是营卫之气及津液的根本,亦是五脏六腑化生的原料和载体
诸如:“血为气母”,是指血为气的载体,并给气充分的营养,一旦贫血,就造成气血双虚的病症,
多累及脏腑的病变,
贫血的本质是是营卫之气和津液之液的枯竭,五脏六腑得不到营卫之气的供养,
放在西医来看,细胞得不到原料的补养,导致枯竭而死,
其病症如下:脏腑精血不足,引起五脏的病变和衰老,
形容面容衰老,憔悴,头昏,心悸乏力汗多,失眠多梦,皮肤枯燥,出现脂褐素
而血又是五脏六腑津液化生的动力,相同于原材料,
贫血对脾胃造血功能的损伤亏虚,肝肾阴虚,
常见症状:头发须白,脱落厉害,气喘,身体消瘦,浮肿,抵抗力低下
又如心脏活动,血液是营养机体的主要物质,营养的好坏直接影响着人体包括心脏功能的活动。
《内经》:“心主身之血脉”,“诸血者皆属于心”
故血液及津液不足者,最容易患得心脏疾病
贫血具体分类
缺铁性贫血

出血性贫血
急性大量出血(如胃和十二指肠溃疡病、食管静脉曲张破裂或外伤等)所引起的。
溶血性贫血
红细胞过度破坏所引起的贫血,但较少见;常伴有黄疸,称为“溶血性黄疸”
巨幼红细胞性贫血
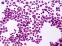
缺乏红细胞成熟因素而引起的贫血,缺乏叶酸或维生素B12引起的巨幼红细胞性贫血,多见于婴儿和孕妇长期营养不良;巨幼细胞贫血是指骨髓中出现大量巨幼细胞的一类贫血。实际上巨幼细胞是形态上和功能上都异常的各阶段幼稚红细胞。这种巨幼细胞的形成是DNA合成缺陷的结果,核的发育和成熟落后于含血红蛋白的胞浆。身体多种组织细胞皆受DNA合成缺陷的影响,但以造血组织最严重,特别是红系细胞。粒系细胞和巨核细胞也都有形态上的改变和成熟细胞数量的减少。巨幼细胞包括原巨幼细胞、早巨幼细胞、中巨幼细胞和巨幼细胞各不同发育阶段的幼稚红细胞。这些巨幼细胞均比相应的正常幼红细胞大,浆核比例比正常略高。经Wright染色后,原巨幼细胞的胞浆呈深蓝色,无颗粒,核周围有一染色较浅的圈;核圆形,染成紫色,最显著的特点是染色质呈颗粒状,彼此隔开,隔开处比较透亮,有时在核的周边有彼此分开的染色质小块,形成所谓“钟面”的状态;核仁较大,蓝色。当细胞逐渐成熟,染色质保持其颗粒状结构,不易形成深染的固缩块状物。有时巨幼细胞贫血较轻,巨幼细胞的形态往往不很典型,称为类巨幼细胞。绝大多数巨幼细胞贫血是由叶酸、维生素B12缺乏引起的,但也有一小部分是例外,如抗代谢药物引起的巨幼细胞增生、红白血病和红血病、铁粒幼细胞贫血的巨幼细胞增多、遗传性乳清酸尿等。不管是哪一种原因引起的,巨幼细胞的形态都是相同的。经过适当的治疗,这些巨幼细胞都能很快变成正常的幼稚红细胞。
再生障碍性贫血
伴有胃酸缺乏和脊髓侧柱、后柱萎缩,病程缓慢;造血功能障碍引起的贫血,再生障碍性贫血(AA,简称再障),是由多种原因引起的骨髓干细胞、造血微环境损伤以及免疫机制改变,导致骨髓造血功能衰竭,出现以全血细胞(红细胞、粒细胞、血小板)减少为主要表现的疾病。再生障碍性贫血的病理变化主要为红骨髓的脂肪化,也就是说原来有造血功能的红骨髓被脂肪所取代,取代的数量越大则贫血越严重。根据起病缓急、病情轻重、骨髓破坏程度和转归等,分为急性和慢性两型。在中国经部分地区调查,每10万人中有1.87 ~2.1人发病,与日本报道的发病率相近。各年龄组均可发病,但以青壮年多见,男性多于女性。急性型与慢性型病例的比例为1∶4.6。再生障碍性贫血似属中医学“虚劳”、 “虚损”及“血证”的范畴。以往认为是不治之症,经过40多年来中西医结合治疗的实践,对其预后已有改观。据调查,平均死亡年龄延长,病死率下降,患病率增高。再生障碍性贫血患者要注意防止交叉感染,尽量不要去公共场所。住房要通风。忌服合霉素、氯霉素、磺胺类、退热止痛片等抑制骨髓的药物。治疗再生障碍性贫血有较好疗效,一般用药2个月即自觉症状好转,血象有较大幅度恢复,服药半年可显著好转。缺铁性贫血应该做哪些检查
贫血应该做哪些检查
除红细胞、血红蛋白、红细胞比积外,最基本的血液学检查应包括:
(一)网积红细胞计数,校正网织红细胞计数=患者的红细胞压积/0.45/LX网织红细胞(%)。
(二)MCV及MCHC 的测定。
(三)外周血涂片,观察红细胞有无异形红细胞,如球形红细胞、靶形红细胞、裂殖细胞,有无红细胞大小不均,低色素和多染性红细胞,嗜硷性点彩、卡伯特氏球、豪一周氏小体等。白细胞和血小板数量和形态学方面的改变,有无异常细胞。
(四)骨髓穿刺作骨髓涂片检查,对诊断不可缺乏,必要时应作骨髓活检。骨髓检查必须包括染色,以确诊或排除缺铁性贫血和铁粒幼细胞性贫血。 尿常规、大便隐血及寄生虫卵、血液尿素氮、血肌酐以及肺部X线检查等均不容忽视。
实验室检查
1、血象 呈现典型的小细胞低色素性贫血(MCV<80fl,MCH<27pg,MCHC<30%),红细胞指数改变的程度与贫血的时间和程度相关,红细胞宽度分布(RDW)在缺铁性贫血的诊断中意义很难定,正常为(13.4±1.2)%,缺铁性贫血为16.3%(或>14.5%)特殊性仅为50%~70%,血片中可见红细胞染色浅淡,中心淡染区扩大,大小不一,网织红细胞大多正常或轻度增多,白细胞计数正常或轻度减少,分类正常,血小板计数在有出血者常偏高,在婴儿及儿童中多偏低。
2.骨髓象 骨髓检查不一定需要,除非是需要与其他疾患的贫血相鉴别时,骨髓涂片表现增生活跃,幼红细胞明显增生,早幼红及中幼红细胞比例增高,染色质颗粒致密,细胞质少,血红蛋白形成差,粒系和巨核细胞系正常,铁粒幼细胞极少或消失,细胞外铁缺如。
生化检查
(1)血清铁测定:血清铁降低<8.95μmol/L(50μg/dl),总铁结合力增高>
64.44μmol/L(360μg/dl),故转铁蛋白饱和度降低,由于血清铁的测定波动大,影响因素较多,在判断结果时,应结合临床考虑,在妇女月经前2~3天,妊娠的后3个月,血清铁和总铁结合力均会降低,但不一定表示缺铁。
(2)血清铁蛋白测定:血清铁蛋白低于14μg/L,但在伴有炎症,肿瘤及感染时可以增高,应结合临床或骨髓铁染色加以判断,缺铁性贫血患者骨髓红系细胞内及细胞外铁染色均减少或缺如。
(3)红细胞游离原卟啉(FEP)测定:FEP增高表示血红素合成有障碍,用它反映缺铁的存在,是较为敏感的方法,但在非缺铁的情况如铅中毒及铁粒幼细胞贫血时,FEP亦会增高,应结合临床及其他生化检查考虑。
地中海贫血
地中海贫血(在香港叫链状细胞性贫血)按照受累的氨基酸链来分类,主要有α地中海贫血(α链受累)和β地中海贫血(β链受累)。也可按照一个或两个基因缺损来分为轻型或重型地中海贫血,海洋性贫血,α地中海贫血多见于黑人(黑人中25%至少有一个基因缺陷),β地中海贫血多见于地中海地区或东南亚。 我国长江以南各省均有报道,以广东、广西、海南、四川、重庆等省区发病率较高,在北方较为少见。若夫妻为同型地中海型贫血的带因者,每次怀孕,其子女有1/4的机会为正常,1/2的机会为带因者,另1/4的机会为重型地中海型贫血患者,因此,在遗传咨询及产前诊断方面,这是非常重要的疾病。
孕妇贫血对胎儿的影响
孕妇贫血是孕妇在怀孕期发生的一种营养缺乏症,那么此时孕妇贫血对胎儿有影响吗?不断发育的孕宝宝会从妈妈体内夺去大量的营养物质包括血清铁,如果孕妇在怀孕期间因孕期反应或营养尤其二价铁元素补充不充足,就会发生贫血的状况。由于在胎儿与孕妇本身争夺血清铁的情况下,孕妈妈往往发挥伟大母爱精神把营养物质优先贡献给胎儿利用,所以孕妇贫血早期,说明胎儿已经将孕妈妈体内的血清铁毫不客气的“夺走”,也就是说此时,孕妇贫血还未对胎儿造成严重影响。
但是孕妇贫血严重对胎儿有影响吗?此时孕妇贫血对胎儿的影响为:长期下去,孕妇贫血必定会影响胎儿的发育,比如胎儿生长受限,由于贫血而造成缺氧,胎儿容易发生胎儿窘迫,早产或者死胎。
孕妇贫血不仅对胎儿的健康有影响,而且孕妇贫血若发生在怀孕期,贫血孕妈妈也比健康妈妈患妊娠中毒症的风险高,如果孕妇贫血发生孕后期,孕妇生产过程中也容易发生子宫收缩乏力使产程延长的状况,并且孕妇贫血也会使孕妇产后发生抵抗力下降及产后恶露的情况,使孕妇产后恢复变得缓慢。
贫血治疗方法
一般缺铁性贫血不需要药物治疗,在饮食上调理一下就好的。多食用一些补血的食物如,猪肝,大枣,花生衣,藕等等。
儿童贫血的预防
第一,提倡母乳喂养
因母乳中铁的生物利用率和吸收率均高于牛奶;4个月后应添加蛋黄、肝泥、肉末、豆粉、煮烂的菜叶等含铁的辅食;牛奶喂养的小儿应提早于2—3个月添加。小儿时期每天铁的需要量为10—15毫克,青春期的女孩每天为20毫克,当每天提供的食物中铁的含量达不到这个要求时,应从补铁的药物中摄取。
第二,掌握科学喂养技能
供给的食物一定要结合小儿年龄、消化功能等特点。营养素要齐全,其量和比例要恰当,食物不宜过于精细、过多含糖、过于油腻、调味品过于浓烈以及带有刺激性。其品种要多样化,烹调时不要破坏营养素,并且做到色、香、味俱佳,以增加小儿食欲。
第三,要多吃新鲜蔬菜、水果
蔬菜、水果等富含维生素C,有助于食物中铁的吸收。由于每一种食物都不能供给人们所必需的全部营养成份,所以膳食的调配一定要平衡。
第四,纠正一些不良的进食习惯
如强迫、引诱进食以及挑食、偏食,彻底治疗各种慢性失血性疾病。
注意事项
(1)饮食营养要合理,食物必须多样化,食谱要广,不应偏食。
(2)忌食辛辣、生冷不易消化的食物。平时可配合滋补食疗以补养身体。
(3)饮食应有规律、有节制,严禁暴饮暴食。
(4)劳逸结合,进行适当的体育活动
推荐几样补血食物
黑豆:中国古时向来认为吃豆有益,多数书上会介绍黑豆可以让人头发变黑,其实黑豆也可以生血。黑豆的吃法随各人喜好,如果是在产后,建议用黑豆煮乌骨鸡。
胡萝卜:含有很高的维生素B、C,同时又含有一种特别的营养素-胡萝卜素,胡萝卜素对补血极有益。
面筋:这是种民间食品。一般的素食馆、卤味摊都有供应,面筋的铁质含量相当丰富。而补血必须先补铁。
金针菜:金针菜含铁数量最大,比大家熟悉的菠菜高了20倍,铁质含量丰富,同时金针菜还含有丰富的维生素A、B1、C、蛋白质、脂肪及秋水仙醉碱等营养素。
龙眼肉:龙眼肉就是桂圆肉,任何一家超市都有售。龙眼肉除了含丰富的铁质外还含有维生素A、B和葡萄糖、蔗糖等。补血的同时还能治疗健忘、心悸、神经衰弱和失眠症。龙眼汤、龙眼胶、龙眼酒之类也是很好的补血食物。
萝卜干:萝卜干本来就是有益的蔬菜,它所含的维生素B极为丰富,铁质含量很高。所以它是最不起眼最便宜但却是最好的养生食物,它的铁质含量除了金针菜之外超过一切食物。
黑糖:黑糖是一种未经提练的纯糖,含有丰富的钙铁核黄素、尼克酸及锰、锌、镁等微量元素,是补血的佳品。
红枣:它含维生素PP,有健全人体毛细血管的重要作用,能防治心血管疾病和高血压。红枣、浮小麦甘草煎服,对血小板减少性紫癜和神经衰弱具有调补作用。
猪肝:猪肝含有丰富的铁质和维生素A,对缺铁性贫血的治疗很有帮助。
花生:花生的一层红皮对血小板减少的病人很有帮助,另外花生本身也是很好的补血佳品。
贫血全面治疗
免疫功能紊乱被视为再障性贫血的主要发病机制,含有丰富的蛋白质、氨基酸、维生素、核酸和生物活性酶这些都是肌体造血所需要的物质条件,同时还要激活骨髓造血机制并调节人体免疫功能,对心、肝、脾、肾等于造血相关的脏器要有良好的调节和补益作用。
注意事项
1.口服铁剂以乳酸亚铁、富马酸亚铁和葡萄糖酸亚铁为佳,因铁以二价铁(亚铁)的形式吸收,而以三价铁(正铁)的形式起作用。适合的补铁产品有体恒健铁之缘片。中药的补血品种有红桃K、血尔、朴雪和女人缘等。
2.贫血补铁应坚持“小量、长期”的原则。严格按医嘱服药,切勿自作主张加大服药剂量,以免铁中毒;也绝不能一次大剂量,否则易致急性铁中毒。铁中毒表现为:头晕、恶心、呕吐、腹泻、腹痛,休克等,严重者可致昏迷、惊厥等,甚至死亡。
3.口服铁剂时应将药物放在舌面上,直接用水冲饮下肚,不要咀嚼药物,以免染黑牙齿,影响美观。
4.应在饭后服药,避免空腹服药,以减轻药物对胃肠道的刺激而引起的恶心呕吐。同时服用维生素C或果汁,因酸性环境有利于铁的吸收。
5.含钙类食品(如豆腐)和高磷酸盐食品(如牛奶)等,与铁剂能结合而生成沉淀,故应避免合用。
6.口服铁剂期间,不要喝浓茶或咖啡,因茶、咖啡中含有大量鞣酸,能与铁生成不溶性的铁质沉淀,而妨碍铁的吸收。牛奶及其他碱性物质也可影响铁的吸收,应避免同时服用,或尽量少食用。乳类(尤其是牛奶)中含铁最少,不能大量饮用,否则会降低胃肠道内已有铁的含量。
7.注意药物对铁剂吸收的不良影响:四环素族抗生素能与铁剂生成不溶性络合物,不利吸收。故应尽量避免同时应用。若两者必须应用,应间隔3小时以上。
8.加强饮食护理。正确合理的饮食可以防治缺铁性贫血。已患缺铁性贫血的病人,单靠饮食疗法效果不大,但可作为辅助治疗,以防止复发。应改正偏食、挑食和厌食的坏习惯,食谱要广,适当多食含铁较多、营养丰富的食品,如:肉类、蛋类、鱼类、多种海产品(如海带、紫菜),动物肝、血、荞麦、红薯等粗粮,豆制品、蘑菇和黑木耳及多种新鲜果蔬。
9.服用几个月后,临床症状改善、血色素正常后,不能立即停药,还应在医生指导下再服3—6月,以补充体内的储存铁,防止贫血的复发。
10.口服铁剂治疗期间,因铁与大肠内硫化氢反应生成硫化铁,使大便颜色变为褐黑色,类似消化道出血,对此不必紧张,停用铁剂后即恢复正常。
贫血诊断
概述
贫血不是一种独立的疾病,而是指单位容积循环血液中的红细胞比积、红细胞数及/或血红蛋白量低于正常值,以及全血容量减少,并由此而引发的综合症状的总称。各种动物均常发生。
贫血的分类方法,比较使用的是按引起贫血的原因,将贫血分为失血性贫血、溶血性贫血、营养性贫血及再生障碍性贫血四种类型。
临床上给贫血下一个笼统的诊断并不困难,但要正确辨别贫血的性质,确定贫血的原因,则比较困难,诊断时应注意如下三个问题。
诊断贫血的着眼点
临床诊断贫血,必须注意以下各点。
1 病史
除调查贫血原因外,还要着重了解贫血是急速发生还是缓慢发生?病程短急或缓长?群发、散发或个别发生?贫血症状是进行性加重还是治疗有效?等等。为进一步诊断提供有力依据。
2 粘膜色彩
粘膜色彩对反映贫血及贫血程度敏感可靠,是认识贫血的窗口。在检查粘膜时,着重注意有无出血点,必要时可配合血管脆性试验加以印证。可视粘膜通常检查眼结膜。
3 心肺机能障碍
贫血时,由于供血和血液携氧功能障碍,必然引起心肺机能不全,伴发心肺功能障碍症状,如心率、呼吸增数、呼吸困难等。对于反映贫血程度也是一个佐证。
4 贫血程度
贫血的程度,主要由贫血指标减少的程度和治疗效应两个方面反映出来。而这两个方面又都由外周血液和骨髓造血功能综合的反映出来。在数量变化上,仅外周血液成分减少而骨髓造血效应无变化者,贫血比较轻微;反之,外周血液成分显著减少,骨髓造血功能效应也减退者,贫血则比较重剧。治疗效应也是如此,经过治疗,外周血液成分尤其是网织红细胞增多,骨髓造血出现增生效应的,贫血比较轻微;反之,虽经施治,外周血液成分有所回升,而骨髓造血仍无增生效应,则贫血程度重剧,可能属于再生障碍性贫血。
5 贫血指标的一致性
反映血液成分的量变(数量差异)和质变(形态差异、比率变异等)的各个指标之间几乎都有一致性,例如红细胞数与血红蛋白量,外周血液红、粒细胞比率与骨髓红、粒细胞比率,以及外周血象和骨髓象都有一致性,彼此呼应。如果相应指标之间变化不一致,则应仔细探讨其原因,尽力纠正,方可获得正确的结论。
指标及其临床评价
诊断贫血的指标,临床最常用的有红细胞、红细胞压积、血红蛋白、红细胞象及骨髓细胞象。前三项是辨别贫血与否不
外周血液涂片上的红细胞形态,对诊断贫血比较有意义的有嗜碱性彩点与有核红细胞增多,见于铅中毒;球形红细胞,见于免疫介导性溶血性贫血;碎裂红细胞增多,见于弥散性血管内凝血及其他微血管性溶血性贫血;海因氏小体,见于海因氏小体性贫血;网织红细胞与有核红细胞增多,常是血细胞在生旺盛的反映,网织红细胞数还可只是在生的程度;小红细胞占多数者,多为营养性缺铁性贫血。
鉴别贫血性质的指标,经常应用的是由红细胞数、红细胞压积和血红蛋白量计算出来的平均红细胞容积(MCV)、平均红细胞血红蛋白(MCH)和平均红细胞血红蛋白浓度(MCHC)三项指标。
MCV增大,见于再生障碍性贫血,减少见于缺铁性贫血。
增高,是溶血的指征、降低而伴有小细胞增多症,为缺铁性贫血;降低而伴有大细胞增多症,为再生障碍性贫血。
综合MCV、MCH、MCHC三者的变化,可将贫血鉴别为低血素小红细胞性贫血及高色素大细胞性贫血(MCV增大,MCHC高于正常值)三种。
诊断贫血的分析要领
贫血的完整诊断,应包括三方面的内容,即探讨病因、确定贫血性质和治疗效应验证诊断。为此,在临床上需从如下三方面去考虑。
1 探讨病因
贫血尤其是大失血是大失血性贫血,其病势急剧,甚至几分钟、几小时即可危及动物生命,必须及时查明失血原因,采取相应措施,才能争取时间,作进一步治疗。在探讨病因上,必须紧紧围绕认识贫血的窗口——粘膜色彩变化情况加以分析。
粘膜急剧苍白的要考虑两种情况。一种是失血,检查体表有无大创伤和大血管破裂,若没有,则要怀疑有无内出血。立即作胸、腹腔穿刺,若穿刺液呈血样,即可能是肝、脾或胸、腹腔大血管破裂。条件许可,也可用X线进行胸、腹腔透视观察有无内出血,不可丝毫迟疑,贻误诊断和治疗。另一种是粘膜急剧苍白伴有明显黄染,可能是溶血,注意有无血红蛋白血症、血红蛋白尿和体温反应,如出现血红蛋白血症并伴高热的,可能是感染性溶血性贫血,其提问正常或低下的,则可能是溶血毒物或抗原抗体反应引起的溶血性贫血。
若粘膜逐渐苍白,应从三方面去分析。一是粘膜逐渐苍白,病程缓长、可能是营养性贫血或慢性失血性贫血。二是粘膜逐渐苍白伴黄染,可能是慢性溶血性贫血,如铜中毒、铅中毒。三是粘膜逐渐苍白伴出血倾向和反复感染,则可能是再生障碍性贫血。
2确定贫血性质
宜从红细胞的大小入手,可先粗略地观察血片上的红细胞直径,若多数小于5um,或红细胞大小不均,可能是缺铁性贫血,进一步测定血清铁盒作骨髓铁染色检查。若血清铁含量降低,骨髓细胞外铁盒铁粒幼细胞稀少或缺失,可确定为缺铁性贫血,再查缺铁的原因;若血清铁、骨髓细胞外铁和铁粒幼细胞都增多,则可能是维生素B6缺乏所至。如红细胞直径以大于5um的居多,则可能是大细胞正色素性或大细胞高色素性贫血,进一步测定血浆维生素B12含量,取得佐证。
验证诊断
只要对贫血的病性判断准确,原因清除,通过除去病因,对症施治,多能见到明显的增生性造血效应。如营养性贫血,在应用硫酸亚铁、铜、钴或维生素B6、B12之后5-7天,外周血液显示网织红细胞增多,表明效应良好,诊断正确。否则,则当查明其不显效果的原因。
鉴别诊断
失血性贫血疾病的鉴别
急性失血性贫血疾病
急性失血,尤其是大失血所引起贫血的共同特点,是粘膜速变苍白,甚至结膜白如瓷,心肺机能障碍重剧,病程短急。出血不止,旋即恶化。血液各种成分呈平行地进行性减少。
创伤
有创伤的原因可查,在创伤后突然起病;体表可见创伤,清创后可见到出血部位,切实治学后出血即停止;血浆和血液成分同时减少。
产后大出血
多因产子时产道撕裂等原因引起,在产后出血不止而致贫血,仔细检查产道可发现出血部位。小血管破裂,多可自然止血。
慢性失血性贫血疾病
病程多缓长,病畜销售,贫血逐渐加重,不同程度地影响动物生长发育和生产性能。血象呈小细胞低色素性贫血。红细胞变小,大小不均,中央淡染区扩大。血清铁及骨髓外铁减少。
蛔虫病
主症为便秘、腹泻交替发生,消瘦贫血,粘膜苍白,被毛粗乱,病程绵长,多衰竭死亡。粪内检查出蛔虫卵,有时排出虫体,驱蛔灵等驱虫显效。
反刍兽肝片形吸虫病
反刍兽因感染肝片形吸虫或大片吸虫地囊蚴而发病,虫体主要寄生在肝脏胆管内。病程多缓长,主症为粘膜逐渐苍白,长期出现前胃迟缓症状,高度消瘦,下颌、胸下及腹下浮肿。粪中检出虫卵,病理剖检在肝内可检出虫体。
溶血性贫血疾病的鉴别
溶血性贫血多病程短急或缓长,起病或快或慢;体温正常或升高,黄疸指数增高,粘膜苍白黄染,往往出现血红蛋白尿;在血液学变化上,血清呈金黄色,黄疸指数增高,间接胆红素增多,血小板增多,外周血片显示增生活跃,出现多量网织红细胞等幼稚性红细胞。引起溶血的原因很多,较常见有以下四类。
1感染性溶血性贫血疾病
(1)钩端螺旋体病急性型初期体温升高,结膜红肿,羞明流泪,以后体温下降,结膜苍白黄染,口粘膜及皮肤坏死,尿液减少,粘稠呈黄红色豆油样,红细胞减少。慢性型的逐渐消瘦贫血,尿呈黄褐色,排血红蛋白尿,红细胞明显减少。暗视野活体或镀银染色法检查血液(发热期)、尿液及脑脊液(无热期),可检出钩端螺旋体。
(2)梨形虫病 可视粘膜苍白黄染,有时粘膜上出现大小不等的出血点。血液稀薄,红细胞和血红蛋白急剧减少,血片上可见到多量有核红细胞等幼稚红细胞,红细胞内可检出梨形虫。
(3) 附红细胞体病 本病发生于猪、牛、绵羊、猫等,不常发生。主要症状是发热、黄疸和贫血。多继发于其他疾病,如猪常与力克次氏体并发。本病病势较缓和,无血红蛋白尿,急性病例在发热期于血涂片上可查出虫体,间接血凝试验有助确诊。
2 溶血毒引起溶血性贫血疾病
(1)毒蛇咬伤 有毒蛇咬伤史,咬伤后突然起病。常见咬伤局部肿胀剧痛,流血不止,呈紫黑色,极度水肿,往往坏死,毒素吸收后很快出现血尿、血红蛋白尿,胸腹腔大量出血,最后因心、肾功能衰竭而死亡。
(2)蓖麻子中毒 有误食蓖麻子的生活史,多在误食后数小时发病。主症为重剧的腹泻,粪中混血,流涎虚嚼,全身震颤,常伴血红蛋白尿,多归死亡。胃内容物中可检出蓖麻素。
(3)慢性铜中毒 有长期接触铜的生活史,铜累积至一定水平即引起溶血危象。主症为腹痛腹泻,呕吐,粪和呕吐物呈棕色或蓝色,结膜苍白黄染,胸、腹腔及心包可有大量液体,排血红蛋白尿。血液和组织中的铜的含量明显增高,溶血危象时血铜水平为78.5-314umol(正常为4.8ppm),此为铜中毒。
3 免疫性溶血性贫血疾病
(1)新生畜同种免疫溶血性贫血 又名新生畜同种红细胞溶解,是新生畜的一种免疫性溶血病,骡驹多见,马驹、犊牛和仔猪也发生。有于出生吮初乳后8-48h内突然发病的病史。病畜精神极沉郁,卧底不起,全身肌肉柔软,心率、呼吸显著增数,第一心音增强,经常出现收缩期心内杂音,粘膜很快变为藏白色,高度黄染,排血红蛋白尿,尿呈酱油色或黑色,尿中无红细胞。血浆呈金黄色,红细胞和血红蛋白显著降低,病程极短,救治失时,数小时内死亡。
(2)不相合血液输注 多在不相合血液输注后突然起病。显现过敏性休克及溶血性贫血体征。
4 物理因素所致的溶血性疾病
犊牛阵发性血红蛋白尿症,因饮水过多而引起溶血,有大量饮冷水后突然发病的病史。病犊呼吸困难,尿量增多,排血红蛋白尿,尿呈暗红色乃至黑红色。血液呈稀血症变化。轻症的1-2h可自愈,重症的多继发肺水肿而死亡。
营养性贫血疾病的鉴别
1 铁缺乏 有铁缺乏的生活史,如补饲铁不足。幼畜多发,仔猪尤为多见。主症为仔畜生长缓慢,被毛粗乱,逐渐消瘦,粘膜苍白。往往继发大肠杆菌或链球菌感染,并发大肠杆菌病或链球菌性心包炎。缺铁性贫血的血液学变化,为小细胞低色素性贫血,红细胞数和血红蛋白减少;红细胞象为红细胞直径偏小,且大小不均,中央淡染区扩大,补铁一周,外周血液多显增生性造血效应。
2 铜缺乏 原发性铜缺乏,在缺铜地区呈地区性发生。主症为贫血消瘦,结膜苍白,被毛颜色改变,牛的红毛和黑毛变为灰毛或褐红色毛,运动失调,四肢僵硬,关节肿大,容易骨折。血液和肝脏铜含量降低,血液铜低于10.99u mol/L,肝铜低于20ppm(干重),可诊断为铜缺乏。
3 钴缺乏 在海岸、湖岸及亚冰川等贫钴地区性发生。牛、羊多见,常成群发病。主症为异嗜,消瘦,结膜苍白,腹泻,逐渐衰弱。
疾病的鉴别
1 结核 除呈现呼吸困难,咳嗽,支气管肺炎以及淋巴结肿大等症状外,病畜逐渐消瘦,骨髓造血机能受抑制,呈现再生障碍性贫血。
2 鼻疽 病畜逐渐消瘦,骨髓造血功能受抑制,发生再生障碍性贫血。根据各型鼻疽的特征性症状,鼻疽菌素试验和补体结合反应阳性等可鉴别。
3 砷中毒有接触含砷农药(三氯化二砷等)的生活史,常在误食含砷农药数小时起病。主征是重剧的胃肠道症状和神经症状,如重剧腹泻,或腹泻与便秘交替发生,视力障碍、共济失调等慢性病例,出现再生障碍性贫血血液变化。肝、肾砷含量超过10-15ppm可供确症参考。
4 汞中毒慢性汞中毒,可抑制骨髓造血功能,引起再生障碍性贫血。有接触有机汞农药的生活史。出现持续性腹泻、共济失调等胃肠道和神经症状。肾汞增高,驱汞治疗显效。
5 氯霉素中毒 有长时间应用氯霉素尤其是超量应用的病史。首先是抑制红细胞生成,而后骨髓其他细胞系也受抑制,出现再生障碍性贫血。
6 磺胺中毒 引起再生障碍性贫血,根据长期应用磺胺制剂的病史,可以鉴别。
A小儿贫血
单位容积血液内血红蛋白量或红细胞数低于正常值称为贫血。贫血是一种常见的症状。关于小儿贫血的国内诊断标准是:新生儿小于145克/升,1到4个月小于90克/升,4到6个月小于100克/升,6个月到6岁小于110克/升,6岁到12岁小于120克/升,12岁到14岁就基本上到成人标准了。如果血液中的血红蛋白量低于这个标准,就可以视为贫血!
值得注意的是:高原地区氧气稀薄,海拔每升高1000米,血红蛋白要相应增加4%.
营养性缺铁性贫血
【病因】以下原因可单独或同时存在。
1.先天性储铁不足 早产儿、双胎、胎儿失血、孕母患缺铁性贫血可致胎儿储存铁减少。
2.铁摄入不足 食物铁供应不足是导致小儿缺铁性贫血的主要原因。单纯牛乳、人乳、谷类等低铁食品未添加含铁丰富的食物喂养婴儿,和年长儿偏食常致缺铁。
3.生长发育快 婴儿期、青春期的儿童生长发育快,早产儿生长发育更快,其铁需量相对增多,易发生缺铁。
4.丢失过多和(或)吸收减少 正常婴儿每日排铁量比成人多。生后2个月的婴儿粪便排出铁比从食物中摄入铁多。用未经加热的鲜牛奶喂养婴儿、肠息肉、膈疝、钩虫病常因慢性小量肠出血,致铁丢失过多。慢性腹泻、反复感染可减少铁的吸收,增加铁消耗,影响铁利用。
【发病机制】 铁缺乏对造血及多种组织器官的功能均有影响。
1.对造血的影响 经小肠吸收的食物铁或衰老红细胞破坏释放的铁经运铁蛋白转运至幼红细胞及储铁组织。幼红细胞摄取的铁在线粒体内与原卟琳结合,形成血红素。后者再与珠蛋白结合形成血红蛋白。因此,铁是构成血红蛋白必需的原料,严重铁缺乏必然引起小细胞低色
素性贫血。人体血红蛋白铁约占机体总铁量的70%。余下的30%以铁蛋白及含铁血黄素的形式储存在肝、脾、骨髓等组织称储存铁,当铁供应不足时,储存铁可供造血需要。所以铁缺乏早期无贫血表现。当铁缺乏进一步加重,储存铁耗竭时,才有贫血出现。故缺铁性贫血是缺铁的晚期表现。
2.对非造血系统的影响 体内许多含铁酶和铁依赖酶,如细胞色素C、过氧化酶、单胺氧化酶、腺苷脱氨酶等。这些酶控制着体内重要代谢过程。其活性依赖铁的水平。因此,铁与组织呼吸、氧化磷酸化、胶原合成、卟琳代谢、淋巴细胞及粒细胞功能、神经介质的合成与分解、躯体及神经组织的发育都有关系。铁缺乏时因酶活性下降(可开始出现于缺铁的早期),导致一系列非血液学改变。如上皮细胞退变、萎缩、小肠粘膜变薄致吸收功能减退;大脑皮质层、下丘脑5-羟色胺、多巴胺等介质堆积引起神经功能紊乱;甲状腺滤泡上皮细胞坏死、T4分泌减低;细胞免疫功能及中性粒细胞功能下降引起抗感染能力减低。
【临床表现】任何年龄均可发病,以6个月~2岁最多。缓慢起病。皮肤粘膜逐渐苍白、以唇、口腔粘膜、甲床最明显。头发枯黄、倦怠乏力、不爱活动或烦躁、注意不集中,记忆力减退、学习成绩下降、智能多较同龄儿低。常有食欲不振、少数有异食癖(如喜吃泥土、煤渣)。重者出现口腔炎、舌乳头萎缩、吸收不良综合征、反甲、心脏扩大或心力衰竭等。患儿易患呼吸道感染。中耳炎等。年长儿童可诉头昏、耳鸣。实验室检查:红细胞、血红蛋白低于正常。红细胞体积小、含色素低。骨髓涂片可见幼红细胞内、外可染铁明显减少或消失。血清铁蛋白减少(<16ug/L)。血清铁减低(<10.7umol/L)。总铁结合力增高(>62.7umol/L)。运铁蛋白饱和度减低(<0.15)。红细胞游离原卟琳增高(>9umol/L)。
【护理评估】
1.病史 向家长了解患儿的喂养方法及饮食习惯,有无因饮食结构不合理或患儿偏食导致铁长期摄入不足;小婴儿贫血询问母亲孕期有否贫血,有无早产、多胎、胎儿失血等引起先天储铁不足的因素;还应了解有无因生长发育过快造成铁相对不足及患儿有无慢性疾病,如慢性腹泻、肠道寄生虫、反复感染使铁丢失、消耗过多及吸收减少现象。
2.身心状况检查 患儿贫血程度轻重,有无皮肤粘膜苍白、头发枯黄、乏力、记忆力减退、精神烦躁、头晕耳鸣等表现,贫血较重者要注意有无心率增快、心脏扩大、心力衰竭体征,还要了解患儿有无精神改变、异食癣等。
3.辅助检查了解血液检查结果,有无红细胞、血红蛋白、血清铁蛋白下降。
【常见护理诊断】
1.活动无耐力 与贫血致组织缺氧有关。
2.营养失调,低于机体需要量 与铁供应不足、吸收不良、丢失过多或消耗增加有关。
3.知识缺乏 与家长及年长患儿的营养知识不足有关。
改善贫血一方面需要满足人体制造血红蛋白的重要原料-血红素铁,同时也需要加强人体
自身骨髓的造血能力,现代医学研究表明,阿胶能有效促进骨髓细胞的增殖,激活机体的造血系统,加快血红细胞的生成,促进血红素铁的吸收利用。血美莱口服液采用纯正名牌阿胶,从根本上解决贫血问题,补血持久不反弹。
同时,叶酸、当归、党椮、黄芪、熟地,等生血造血的科学配伍,高科技的组方,是血美莱成为贫血患者补血的新贵。
血小板减少性紫癜
(一)血小板减少性紫癜日常注意事项:
(1) 病情严重时,要注意卧床休息,配合治疗。
(2) 缓解阶段可以适当参加一些锻炼,如散步、慢跑、打太极等,以增强体质。
(3) 饮食要有规律,主副食应以高蛋白、维生素为主,如:小麦、玉米、小米、糯米、豆类、瘦肉、蛋类等,多吃新鲜水果和蔬菜如:橘子、红枣、核桃、红皮花生、菠菜、白菜。忌食:辛辣油腻及不易消化的食物,烟、酒等刺激性物品。
(4) 尽可能避免使用引起血小板减少的药物,如利福平,阿司匹林、奎宁、头孢菌素、洋地黄毒甙等。
(5) 平时要保持心情舒畅,避免精神过度紧张,要保持个人卫生,预防各种感染和感冒,防止外伤。
(二)血小板减少性紫癜的临床表现:
本病以皮肤粘膜下及其他部位出血为重要表现,主要有以下两种表现形式:
1.急性型:多见于儿童,发病前1-3周常有上呼吸道及其他病毒感染史,起病急,出血严重。突发广泛的皮肤粘膜血点或成片淤斑,甚至皮下血肿,常伴有鼻衄、牙龈出血等。胃肠和泌尿道出血,可见便血及尿血,偶见结膜下,视网膜出血,少数患者同时伴有内脏或颅内出血,而出现严重的后果。
2.慢性型:多见于成人,病程为6个月以上,起病缓出血症状轻,一般仅见皮肤淤点和淤斑反复发作性出现或常见鼻衄、牙龈出血,结膜出血等其他出血倾向,女性患者可以月经过多和子宫出血为主要表现,长期、反复大量出血而引起贫血者,可以出现低血乏力、头昏 、失眠、及脾肿大等。
继发性的血小板减少,病因错综复杂,可以由中毒药物过敏、自身免役、血脂异常、遗传基因等临床表现,出血、多发性淤斑。最常见于小腿、或易受轻微外伤的部位,出现小的散在性的淤斑。粘膜出血(鼻出血、胃肠道出血、泌尿道出血和阴道出血)和手术后大量出血,胃肠道大量出血和中枢神经出血可危。
病因治疗
一、治疗贫血的原则着重采取适当措施以消除病因。很多时候,原发病比贫血本身的危害严重得多(例如胃肠道癌肿),其治疗也比贫血更为重要。在病因诊断未明确时,不应乱投药物使情况复杂,增加诊断上的困难。
二、药物治疗:切忌滥用补血药,必须严格掌握各种药物的适应症。例如维生素B12及叶酸适用于治疗巨幼细胞性贫血;铁剂仅用于缺铁性贫血,不能用于非缺铁性贫血,因会引起铁负荷过重,影响重要器官(如心、肝、胰等)的功能;维生素B6用于铁粒幼细胞性贫血;皮质类固醇用于治疗自身免疫溶血性贫血;睾丸酮用于再生障碍性贫血等。
三、输血:输血主要的优点是能迅速减轻或纠正贫血。因此必须正确掌握输血的适应症,如需大量输血,为了减轻心血管系统的负荷过和减少输血反应,可输注浓缩红细胞。
四、脾切除:脾脏是破坏血细胞的重要器官,与抗体的产生也有关。
五、骨髓移植:骨髓移植是近年来一种新的医疗技术,目前仍在研究试用阶段,主要用于急性再生障碍性贫血之早期未经输血或极少输过血的病人,如果移植成功,可能获得治愈。
中医对贫血的辨证论治
中医学中没有贫血的名称,但从患者临床所呈现的证候,如面色苍白、身倦无力、心悸、气短、眩晕、精神不振、脉见细象等,则相似于“血虚”、“阴虚”诸疾。一般可将贫血划入“血虚”或“虚劳亡血”的范畴,而“虚劳”是脏腑亏损、元气虚弱所致多种慢性疾病的总称。
中医认为,“诸血皆属于心”,“中焦受气取汁,变化而赤是谓血”,“血之源头在于肾,……精气充足,百脉和畅”。由此可见,血的生成来源于水谷之精气,人摄取水谷营养物质,由中焦(脾胃)吸收了饮食物的精微,通过气化作用,变成营气。脾得心火宣降之助,转化为精、津液,精之一部分贮于肾中,以待生化之用,另一部分得心火之助转化为血,以荣胶末五脏六腑。肾中先天之精得后天水谷之精气,吸收命火之蒸腾,转化为髓。髓得下焦火热之激,分化为髓之精液,精液再为命火的宣蒸转化为血,输之于机体,以为生理之用。
血的生成和调节与心、肝、脾、肾等脏腑关系密切,故中医谓“心主血、肝藏血、脾统血。”而这些脏腑功能的充分发挥,又有赖于肾之命火温照。因此,心、肝、脾、肾功能衰弱,均可导致血虚。而血虚之形成不外乎内外因素。外邪六淫与温热侵入机体,潜而不定期出,深入化血之机,导致新血无生,这一致病因素与现代医学所说的“细菌感染、原虫、毒素发生溶血为病”不谋而合。在内因上,或为七情失节,或为饮食失宜,或为失血而成,或为先天禀赋不足,或为病后房劳过甚,或为妊娠失调,而引起造血之机受阻;或消化之机紊乱,水谷不化,精微不成,发生血虚之疾。可见在内因方面与现代医学所说的“缺乏造血原料或造血器官功能障碍,或慢性失血而成贫血”基本上是一致的。
轻度贫血也要查清病因
正常情况下,男性血红蛋白大于120克/升,女性血红蛋白大于110克/升。如果血红蛋白低于80克/升,则可能存在患地中海贫血、蚕豆病、白血病等严重疾病的可能,通常建议立即就医做进一步诊断。但不少孩子的血红蛋白都在90-110克/升之间,即为轻度贫血,这是不是就不用看病了呢?
只要血红蛋白低于110克/升,就应到医院进一步检查确诊。可以隔一两个月到医院复查一次,多次检查后如仍低于正常值,就有必要搞清楚贫血的原因。
据介绍,月经紊乱、寄生虫病、胃肠道失血都会引起轻度贫血。如果不明病因就把贫血归咎于缺铁而随便补铁,很可能一点效果都没有。即使服用铁剂使贫血的状况暂时得到改善,只要一停药,三个月到半年之后贫血仍会复发。更麻烦的是,白血病最初也可能表现为轻度贫血,如果不立即做进一步检查,就会延误疾病的诊断和治疗。
化疗和放射治疗
化疗是指用细胞毒性药物如环磷酰胺、5-氟尿嘧啶、丝裂霉素等抗肿瘤药物治疗恶性肿瘤。由于这些药物选择性作用差,对正常的细胞,特别是骨髓的造血细胞,有一定的抑制和杀伤作用,因此在化疗中会出现对骨髓的抑制,引起红细胞、白细胞及血小板减少,加之化疗反应恶心、呕吐及食欲减退,达到一定程度时就会引起贫血。放疗是利用放射线杀伤肿瘤细胞。体内更新增殖快的细胞,如骨髓细胞和胃肠粘膜细胞,对放射线特别敏感,因此在实施放疗时,特别是大面积多部位同时放疗,容易造成骨髓损伤、造血抑制,从而诱发贫血。
常吃莴苣可以防止贫血
莴苣中碳水化合物的含量较低,而无机盐、维生素则含量较丰富,尤其是含有较多的烟酸。烟酸是胰岛素的激活剂,糖尿病人经常吃些莴苣,可改善糖的代谢。
防治缺铁性贫血
元素锌、铁,中的铁元素很容易被人体吸收,经常食用新鲜莴苣,可以防治缺铁性贫血。
对高血压、心脏病患者更有益的钾离子含量丰富,是钠盐含量的27倍,有利于调节体内盐的平衡。对于高血压、心脏病等患者,具有促进利尿、降低血压及预防心律紊乱的作用。 女性贫血食补
桂圆肉
桂圆肉中每100克含铁量大约是3.9毫克,在水果中也属含铁量相当丰富的,可用于贫血的食疗中,一般煲汤、煮粥为宜。但桂圆肉属于温热食物,对于孕妇、儿童不适合。
桑葚干
桑葚干是目前水果及其制品中含天然铁最丰富的,每100克含铁42.5毫克,无愧于水果中“补血果”的称号。一般建议将桑葚干煮粥吃,每日食用一碗桑葚粥不但可以补血,还可以美容,但孕妇慎用。
黑枣
干枣里最为推崇的是黑枣和蜜枣,它们每100克含铁量在3.7  ̄3.9毫克之间,也算是补血食物中的佳品,干枣中还含有丰富的维生素C,维生素C是促进铁离子吸收的重要因子,让机体对铁的吸收事半功倍。但干枣含有丰富的膳食纤维,不利消化,所以每日不宜多食,而且最好是煲汤、煮粥食用。
紫葡萄干
紫葡萄是很好的补血水果。将葡萄晒制成干后,每100克含铁量在9.1毫克。而且葡萄在晒制过程中,最大限度的保留了葡萄皮(葡萄皮的营养含量远远高于果肉),也有利于葡萄干中一些稳定营养素的保留,如铁、锌、锰、蛋白质、抗氧化物质等。
妊娠贫血食补
1、人参粥
人参末(或党参末15克),冰糖少量,粳米100克煮粥常食,治疗贫血有一定作用。
2.牛乳粥
粳米100克煮粥,将熟时加入鲜牛奶约200克,食之。可辅助防治妊娠贫血。
3.菠菜粥
先将菠菜适量放入沸水中烫数分钟后,切碎,放入煮好的粳米粥内食之,防治贫血有一定效果。
4.甜浆粥
用鲜豆浆与粳米100克煮粥,熟后加冰糖少许。可辅助治疗贫血。
5.鸡汁粥
先将母鸡一只煮汤汁,取汤汁适量与粳米100克煮粥食。孕妇常食,可辅助防治贫血症。
6.香菇红枣
取水发香菇20克,红枣20枚,鸡肉(或猪瘦肉)150克,加姜末、葱末、细盐、料酒、白糖等,隔水蒸熟,每日1次。常食,可辅助治疗妊娠贫血。
7.大枣粥
大枣10枚,粳米100克,煮粥常食,防治妊娠贫血有一定作用。
8.芝麻粥
黑芝麻30克,炒熟研末,同粳米100克,煮粥食之。孕妇常食,能辅助治疗妊娠贫血。
9.枸杞粥
枸杞子30克,梗米100克,煮粥。孕妇常食,可辅助治疗妊娠贫血
老年人贫血食补
1、食物多样,谷类为主。保证足够的营养,特别是铁元素及蛋白质的摄入量,多吃富含铁质的食物,如动物肝脏、黑木耳、芝麻酱、大枣、豆制品、绿叶蔬菜等。血红蛋白的主要成分是血红素和球蛋白。老年人在日常饮食中应摄入丰富的优良蛋白质食物,如瘦肉、蛋、乳、鱼虾、动物血、豆制品多吃蔬菜、水果和薯类。常吃奶类、等。
2.积极参加体育锻炼,增强食欲。
3.不要过分节制饮食,及时纠正偏食,要吃平衡膳食。
4.患有老年人贫血在服用铁剂期间要忌饮茶水。宜饭后服用,需要用1-2个月,贫血才能得纠正。
5.每日适当多喝水。少用煎、炸的食物。
现介绍如下膳食疗法,供贫血患者选用。
猪肝治贫血:猪肝100克,菠菜200克,红萝卜100克,加水炖熟,调味饮服。
黑豆红枣糯米粥:黑豆25克,红枣15枚,糯米50克。上述三者用文火煮成粥,另加红糖20克,调匀服食。
绿豆治贫血:绿豆25克、红枣10枚,红糖20克、绿豆在锅内煮开花,红枣煮熟、加糖食用。
饮食营养误区
误区1
多吃肉对身体不好?
一些女性对一般广告中宣传的肉食损害健康产生误导,只注重植物性食品的保健功效,导致富含铁元素的动物性食品摄入过少。
误区2
蛋、奶对贫血者多补益?
牛奶够营养,但是含铁量很低,人体吸收率只有10%。例如用牛奶喂养的婴幼儿,如果父母忽视添加辅食,常会引起缺铁性贫血。
蛋黄补铁好,蛋黄含铁量虽较高,但其铁的吸收率仅为3%,并非补铁佳品。鸡蛋中的某些蛋白质,会抑制身体吸收铁质。
除了生理特点,女性在饮食方面存在一些认识误区和行为习惯,都会导致缺铁性贫血。
误区3
蔬菜水果无益补铁?
许多人不晓得多吃蔬菜、水果对补铁也是有好处的。这是因为蔬菜水果中富含维生素C、柠檬酸及苹果酸,这类有机酸可与铁形成络合物,从而增加铁在肠道内的溶解度,有利于铁的吸收。
误区4
咖啡与茶多喝无妨?
对女性来说,过量嗜饮咖啡与茶,可能导致缺铁性贫血。这是因为茶叶中的鞣酸和咖啡中的多酚类物质,可与铁形成难以溶解的盐类,抑制铁质吸收。因此,女性饮用咖啡和茶应该适可而止,一天一两杯足。
当然,除了营养因素以外,缺铁性贫血还可能由疾病引起。例如痔疮、肿瘤、消化道溃疡、长期服用阿司匹林等。所以,发生贫血,要及时到医院就诊,以明确诊断,正确治疗。
误区5
贫血好转得停服铁剂?
贫血者根据医生指示,服用铁剂,看到贫血情况改善或稳定后,即停止服用,这也是错误的做法。这会造成贫血情况再次出现的后果。正确的方法是服用铁剂治疗缺铁性贫血,直到贫血症稳定后,再继续服用铁剂6至8周,以补充体内的储存铁。
产后贫血食疗方
1、芹菜煮鸡蛋
芹菜煮鸡蛋,对治产后出血过多有一定效果。
2、鸡蛋煮豆腐
鸡蛋煮豆腐,对产后血虚有一定治疗作用。
3、当归炖羊肉
羊肉(去脂肪)400克,生姜50克,当归10克,炖熟食之,可辅助治疗产后血、腹中虚痛及产后贫血等。
4、木耳红枣汤
黑木耳30克,浸泡30分钟后,捞出,与大枣20枚共煮汤,调入红糖适量服食。对产后贫血有辅助治疗作用。
5、桂圆桑椹汤
桂圆肉15克,桑椹子30克,共入锅中加水煎煮,去渣取汁,调蜜饮,连用10-15日为一疗程,可辅助治疗产后贫血。
6、海参炖猪肝
海参60克,泡发,猪肝60克,共炖汤调味服食。每日1剂,连用10-15日,对产后贫血有辅助治疗作用。
7、大枣炖鹌鹑
鹌鹑1只,洗净,加入大枣10枚,黄芪9克,猪肝50克,共入锅中加水炖熟服食。每日1剂,连用7-10日为1疗程,可辅助治疗产后贫血。
8、[2]新鲜羊骨2斤(1000g),粳米200g。羊骨洗净捶碎,加水熬汤,去渣后,入粳米共煮成粥。食用时中适量调米温服,10~15天为一疗程。有补肾壮骨的作用。
婴幼儿贫血护理5要点
1.对贫血的婴幼儿应安排一个环境安静、空气清新流通、阳光充足的住处,保证充足的睡眠与休息。
2.根据孩子的年龄特点与消化能力,合理地添加辅食,如蛋黄、肉类、肝、肾、豆类、绿叶蔬菜及水果等。同时要注意食品的色香味,以促进孩子的食欲。喂养要有耐心。
3.避免感染其它疾病,如不要和患传染病或发热的病人接触。
4.有震颤的病儿,要防止咬破口唇及舌尖,可在上下门牙间垫上纱布包着压舌板。
5.服用药物时要注意有无药物反应,如换剂应在两餐之间喂较好,这样有利于铁的吸收。
自我诊断
A 卸妆后,面色灰暗苍白,面色无华、无血色;皮肤干燥,萎缩,无光泽;
B 体力活动后就感到心悸、气促,这是贫血最常见的症状;
C 经常感觉头晕、头痛、耳鸣、眼花、眼前出现黑点或“冒金星”;
D 精神不振、倦怠嗜睡、注意力不易集中、反应迟钝、手脚发麻、发冷或有针刺感等
E 食欲不振,经常感觉腹胀、便秘; F 头发无光泽,细而脆,容易脱发
G 常有月经不规则,每次量很大;H 长期口角炎;I 指甲条文隆起,反甲。
上述症状呈进行性加重,伴有体表及内脏出血和反复发热,多为再生障碍性贫血;
